Permanent Dental Bridge Problems: How to Spot Them and What to Do Next

Signs Your Dental Bridge Is Failing

Dental bridges are a reliable way to restore missing teeth, but over time, they can show signs of wear or failure. Knowing how to spot problems early can help you avoid discomfort and more costly repairs. Here are five common signs of a failing dental bridge:

  • Loose or Shifting Bridge:  If your dental bridge feels loose or moves while you’re chewing or speaking, it may be failing. A loose dental bridge can indicate problems with the supporting teeth or cement.
  • Cracks, Chips, or Discoloration:  Visible damage such as cracks, chips, or stains can affect both the appearance and function of the bridge. Damaged dental bridges should be evaluated promptly.
  • Tooth Sensitivity or Pain Around the Bridge:  New sensitivity or pain around the bridge area could be a sign of decay under the crowns or an issue with the fit of the bridge.
  • Gum Swelling or Bleeding:  Inflamed, swollen, or bleeding gums near your bridge can indicate gum disease or improper fit, both potential causes of bridge failure.
  • Persistent Bad Breath or Bad Taste:  A bad taste in your mouth or ongoing bad breath may result from trapped food particles or bacterial buildup beneath the bridge.

If you’re noticing any of these symptoms, don’t wait. Contact your dentist to have your dental bridge evaluated. Early treatment can often prevent more serious complications.

permanent dental bridge problems

What Causes Dental Bridge Issues?

Understanding the root causes of dental bridge problems can help you take proactive steps to protect your investment and maintain optimal oral health. While bridges are designed to be durable, several factors can contribute to their deterioration or failure over time.

  • Normal wear and tear is inevitable with daily use. Chewing, speaking, and natural jaw movement gradually stress the bridge materials and cement, especially if it’s several years old. Even with proper care, bridges will eventually need replacement as materials break down and seals weaken.
  • Improper fit or placement errors during the initial procedure can lead to discomfort or failure. If the bridge doesn’t align correctly with your bite or if there are gaps between the bridge and supporting teeth, it creates stress points and areas where bacteria can accumulate.
  • Poor Oral Hygiene is one of the most preventable causes of bridge failure. Without proper brushing and flossing, plaque can build up around the bridge, causing decay in the supporting teeth and weakening the structure.
  • Damage from Hard, Sticky, or Abrasive Foods can crack or dislodge bridges. Ice, hard candies, sticky caramels, and using teeth as tools to open packages can crack, loosen, or even break a bridge over time.
  • Gum Disease or Bone Loss around the supporting teeth can undermine the bridge’s foundation. If the gums or jawbone supporting your bridge begin to deteriorate, the foundation holding it in place becomes unstable, increasing the risk of failure

Recognizing these risk factors allows you to work with your dental team to minimize potential problems and extend your bridge’s lifespan through proper care and regular monitoring.

dental bridge infection symptoms

The Impact of Ignoring Dental Bridge Problems

What might start as a little discomfort around a dental bridge can quickly turn into a much more serious issue if left untreated. Minor pain or sensitivity is often the first sign that something isn’t quite right. Over time, this can progress into significant tooth damage, putting your oral health at risk.

One major concern is the increased likelihood of infection, tooth decay, and gum disease around the bridge area. These problems can develop quietly and spread, affecting not only the bridge itself but also the surrounding teeth and gums.  If the support teeth (called abutment teeth) become compromised, the entire bridge can fail. In severe cases, this can even lead to the loss of the adjacent natural teeth. That’s why it’s crucial to keep an eye on any changes and see your dentist regularly.

A damaged or poorly fitting bridge can affect your bite. You may find it harder to chew properly, or even notice changes in your speech over time. This can have a real impact on your quality of life.

Worst of all, the longer you wait, the more complex and expensive the treatment becomes. What could have been a simple fix might end up requiring advanced procedures like implants, bone grafts, or full-mouth restorations.

Keeping your dental bridge in good shape is more than just a cosmetic concern; it’s essential for your overall oral health. Early attention can save you time, money, and a lot of discomfort in the future.

symptoms of ill-fitting dental bridge

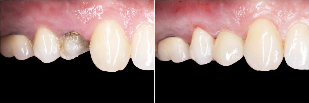
Effective Solutions to Restore Your Smile

If you’re experiencing problems with a dental bridge, the good news is that there are several effective solutions available to restore both function and appearance.

In many cases, a loose or damaged bridge can be professionally repaired. Dentists can re-cement a bridge that has come loose or address minor structural issues to restore its stability and comfort.

When a bridge is too worn or damaged to be repaired, a complete replacement may be the best option. A new, custom-fit bridge can provide a fresh start, improving both your bite and your confidence in your smile.

For patients looking for alternatives, options like dental implants or partial dentures may be recommended. These solutions are tailored to your individual needs and can offer long-term durability and natural-looking results.

Sometimes, supportive treatments are needed to ensure the success of a bridge or its replacement. Gum therapy can help treat inflammation and create a healthier environment, while bone grafting may be necessary if bone loss has occurred beneath the missing tooth area.

With the right treatment plan, your dentist can help you regain a strong, healthy smile that looks and feels great. Don’t wait.  Addressing bridge issues early leads to better outcomes and lasting results.

dental bridge infection treatment

How Optimal Dental Center Ensures Lasting Results

At Optimal Dental Center, we’re committed to providing dental care that’s not only effective but also built to last. Every patient receives a customized treatment plan based on a comprehensive dental evaluation. This allows us to understand your unique needs and recommend the best path forward for long-term oral health.

We use state-of-the-art technology to ensure precision in every step, from accurate diagnostics to expertly crafted restorations. This modern approach helps us detect issues early and deliver solutions that are both effective and minimally invasive.

Our team of skilled dental professionals is dedicated to making your experience as comfortable and stress-free as possible. Whether you’re here for a bridge repair, replacement, or a full smile restoration, you’ll be treated with the highest level of care and compassion.

At Optimal Dental Center, we believe in clear and honest communication. We take the time to explain your treatment options, costs, and what you can expect so you feel confident and informed every step of the way.

With a focus on quality, comfort, and personalized care, we’re here to help you achieve and maintain a healthy, lasting smile.

how to treat infection under dental bridge

Preventive Practices to Extend the Life of Your Dental Bridge

Taking care of your dental bridge doesn’t have to be complicated, but a few smart habits can make a big difference in how long it lasts.

Start with consistent brushing and flossing, making sure to clean around and under the bridge daily. Specialized tools like floss threaders or interdental brushes can help reach tricky areas and prevent plaque buildup that could lead to decay or gum issues.

Be mindful of what you eat. Avoid sticky, hard, or overly sugary foods that can place unnecessary stress on your bridge or contribute to cavities near the supporting teeth.

Regular dental check-ups are key. These visits allow your dentist to monitor the condition of the bridge and surrounding teeth, catching small problems before they become big ones.

And if you ever notice discomfort, shifting, or a change in the way your bridge fits, don’t wait. Addressing concerns early helps protect both your bridge and your natural teeth, potentially saving you from more complex treatment down the line.

With a little daily care and professional support, your dental bridge can stay strong, comfortable, and effective for many years.

tooth decay under bridge symptoms

Take the Next Step Toward a Healthy, Confident Smile

If you’re concerned about the condition of your dental bridge or simply want to ensure it’s in top shape it’s time to take action. Schedule a consultation with our experienced team to assess your bridge’s health and overall oral condition.

We’ll help you explore personalized treatment options tailored to your needs, goals, and comfort whether that means a simple repair, a full replacement, or supportive care to protect your smile for the long term.

Don’t wait for small issues to become big problems. Contact Optimal Dental Center today and discover lasting dental solutions backed by expert care and the latest in modern dentistry.

Preventing long-term dental bridge issues